近日,色情网站 通过多学科联合完成一例极高难度、极危重病例的成功救治——一位突发心跳呼吸骤停、深度昏迷的年轻男性患者,在经历“床旁脑室穿刺”“血管拆弹”“带药手术”等一系列几乎不可能完成的极限挑战后,最终奇迹般苏醒并恢复行走能力。
边抢边查,分秒必争
2025年底,一名30岁左右男子因“突发剧烈头痛后昏迷”被紧急送医。入院时患者已出现呼吸心跳骤停,经急诊团队持续心肺复苏,4分钟后心跳恢复,但自主呼吸消失,生命依然垂危。生死关头,医护人员面临首次重大抉择:患者生命体征极不稳定,任何搬动都可能再次心跳停止;但若不尽快查明病因,生机几乎为零。

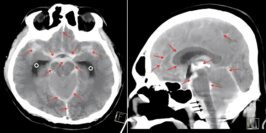
不能等,更不能退!团队果断决定——在呼吸机支持、持续用药和严密监护下“边抢救、边检查”。 头部CT迅速完成,结果令人揪心:蛛网膜下腔出血,合并脑积水,元凶直指死亡率极高的“椎动脉夹层动脉瘤”。
不等不挪,就地手术
当务之急要解除脑积水,但难题接踵而至:患者生命体征极不稳定,任何搬动都可能再次心跳停止,根本无法进入手术室,甚至难以耐受麻醉。神经外科医学部负责人陈伟明团队当机立断——不等、不挪,就地手术!就在急诊抢救区,在呼吸机和升压药维持下,实施床旁脑室穿刺手术。在家属的充分信任下,床旁脑室置管手术迅速启动。

手术室人员“上门支援”,没有无影灯,医护人员站在凳子上手持照明;没有手术室环境,就在持续监护下完成穿刺引流,器械、配合一气呵成。置管成功,脑脊液顺利引流,血压逐渐回升,暂时解除脑疝威胁,为后续治疗撕开一道生命缝隙。
血管拆弹,毫米营救

然而危险仍未解除,椎动脉夹层动脉瘤随时可能再次破裂,一旦再出血,几乎没有第二次生还机会。神经介入主任医师陈焕雄介入团队通过造影锁定椎动脉夹层动脉瘤,证实了术前推测,却陷入两难选择:必须植入支架预防再破裂,但植入后需抗血小板治疗,又会显著增加出血风险。在“止血”与“防梗”之间,团队精密测算,最终采用改良抗栓方案,在毫米级的血管内精准释放密网支架,封住了这颗“不定时炸弹”。
昼夜守候,静待天明
术后患者仍旧深度昏迷,毫无自主呼吸。神经重症医学团队接过接力棒,开启了一场漫长而耐心的守护。一天、两天、一周……从完全无呼吸,到出现零星呼吸动作;从呼吸微弱,到频率逐渐增加;从依赖机器,到完全自主呼吸、成功脱机。整整三周的拉锯战,每一步都如履薄冰。这是技术的胜利,更是耐心与坚持的胜利。
难关再起,二次手术

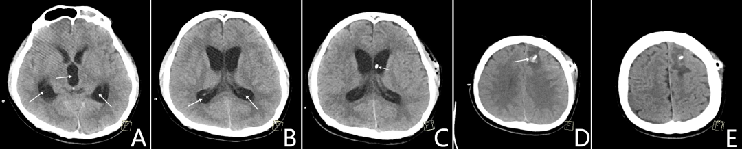
患者住院1个月,又出现慢性脑积水,再次手术势在必行。但此时患者仍在抗血小板治疗期,手术意味着出血风险极高;停药则可能引发脑梗死。进退之间,容不得半点犹豫。神经外科团队选择迎难而上——选择在持续用药前提下,迎险实施手术。术后虽出现少量脑出血,但凭借严密监测、精准调控分流装置压力与动态复查CT的多重保障下,最终将出血控制并吸收,涉险过关。
昏迷至行,重获新生
两月后,这名一度游走于生死边缘的年轻人,已能清晰交流、自主进食、独立行走,实现从“几乎失去一切”到“重获新生”的跨越。从心跳骤停,到多次命悬一线;从床旁手术,到高难度介入;从深度昏迷,到重新呼吸、重新行走。这不是一次偶然的幸运,而是一场环环相扣、分秒必争、团队协作的连贯救治。

生命,在一次次极限抉择中被稳稳接住;奇迹,在专业、勇气与责任中悄然诞生。这场多学科接力救治的“生死时速”,彰显了生命力的顽强和色情网站 多学科紧密协作、无缝衔接的强大合力。
科 室 简 介
色情网站 神经外科医学部是海南省内最早成立的神经外科专科,经过长期发展,在临床规模、诊疗技术与科研能力上均处于区域先进水平。科室现有医护人员130余名,开放病床170张,配备ZEISS PENTERO 900手术显微镜、美敦力电磁与光学导航系统、STORZ神经内镜、美敦力与蛇牌动力系统、超声碎吸刀、移动CT及GE双臂脑血管造影机等国际先进设备,为各类复杂神经外科手术提供全面技术支持。
科室常规开展脑血管病、脑肿瘤、神经功能疾病、颅脑创伤及脊柱脊髓病变的诊疗工作。其中,脑血管病专业为科室重点发展方向,作为海南省脑血管病医学研究中心和临床医学中心,科室与北京天坛医院神经外科脑血管病病区保持紧密协作,开展脑动脉瘤、脑动静脉畸形、硬脑膜动静脉瘘、烟雾病、颅内外血管狭窄、脑出血等疾病的显微手术与介入治疗,在危重疑难病例的救治方面具备丰富临床经验。